Capitate fracture
| Capitate fracture | |
|---|---|
![]() | |
| Transverse fracture at the mid capitate | |
| Specialty | Hand surgery |
| Symptoms | Wrist pain and swelling[1] |
| Complications | Arthritis, avascular necrosis, failure to heal[1] |
| Types | Transverse body, transverse pole, verticofrontal, parasagittal[1] |
| Causes | Fall on an outstretched hand[1] |
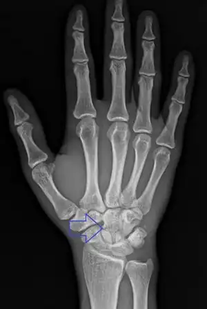
| Diagnostic method | X-rays[1] |
| Treatment | Orthopedic casting, surgery[1] |
| Frequency | 1 to 2% of wrist fractures[1] |
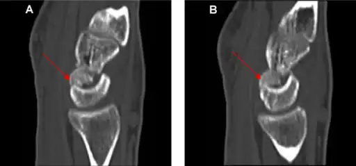
Capitate fracture is a break of the capitate bone in the wrist. Symptoms typically include pain and swelling of the wrist.[1] Often there are other wrist bone fractures or joint dislocations.[1] Complications may include arthritis and avascular necrosis.[1]
Typically they occur as a result of a fall on an outstretched hand or a direct blow to the back of the wrist.[1][2] Types include transverse body (most common), transverse pole, verticofrontal, and parasagittal.[1] Diagnosis is usually by X-rays.[1]
For fractures that are well aligned, treatment may be with orthopedic casting, specifically a thumb spica.[1][2] Otherwise surgery is generally required.[1] Failure to heal is not uncommon.[1] Capitate fractures represent about 1 to 2% of breaks of bones within the wrist.[1]
Diagnosis
Diagnosis is often by a posterior anterior wrist X-ray.[2]

References
- 1 2 3 4 5 6 7 8 9 10 11 12 13 14 15 16 17 Suh, Nina; Ek, Eugene T.; Wolfe, Scott W. (April 2014). "Carpal Fractures". The Journal of Hand Surgery. 39 (4): 785–791. doi:10.1016/j.jhsa.2013.10.030.
- 1 2 3 Walls, Ron; Hockberger, Robert; Gausche-Hill, Marianne (9 March 2017). Rosen's Emergency Medicine - Concepts and Clinical Practice E-Book. Elsevier Health Sciences. p. 517. ISBN 978-0-323-39016-3. Archived from the original on 27 September 2022. Retrieved 24 September 2022.
