Triquetral fracture
| Triquetral fracture | |
|---|---|
| Other names: Triquetrum fracture | |
![]() | |
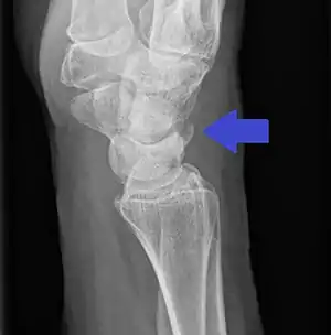
| Triquetral avulsion fracture as seen on lateral X-ray of the wrist | |
| Specialty | Hand surgery |
| Symptoms | Wrist pain and swelling[1][2] |
| Complications | Stiffness, instability[3] |
| Types | Dorsal cortical, body, palmer cortical[4] |
| Diagnostic method | X-rays[3] |
| Differential diagnosis | Lunate dislocation, pisiform fracture, trapezium fracture, hamate fracture[4] |
| Treatment | Casting, surgery[3][1] |
| Prognosis | Generally good[3] |
Triquetral fracture is a break of the triquetral bone of the wrist.[3] Symptoms include pain in the wrist.[1] This is often worsened by bending the wrist forwards or backwards and swelling over the back of the wrist maybe present.[4][2] Associated injuries may include a perilunate dislocation.[4] Complications can include stiffness or instability of the wrist.[3]
It most commonly occurs as a result of a fall onto the hand or being pulled appart by an attached ligament.[3] Other causes may include a direct blow.[1] Diagnosis is generally based on wrist X-rays, though CT scaning can also be useful.[3] Types include dorsal cortical (most common), body, and palmer cortical.[4]
Treatment is generally by casting for 4 to 6 weeks.[3] If the peices are seperated, surgery maybe indicated.[1] Outcomes are generally good with dorsal cortical fractures, while in palmer cortical fractures it may be mixed.[3]
Triquetral fractures represent about 15% of breaks of bones within the wrist, making it the second or third most common after scaphoid and lunate fractures.[3][2][1] They were first described at least as early as 1933 by Thompson.[5]
References
- 1 2 3 4 5 6 Greenberg, Michael I. (2005). Greenberg's Text-atlas of Emergency Medicine. Lippincott Williams & Wilkins. p. 480. ISBN 978-0-7817-4586-4. Archived from the original on 2022-08-27. Retrieved 2022-08-25.
- 1 2 3 Radswiki, The. "Triquetral fracture | Radiology Reference Article | Radiopaedia.org". Radiopaedia. Archived from the original on 26 June 2022. Retrieved 24 August 2022.
- 1 2 3 4 5 6 7 8 9 10 11 Guo, RC; Cardenas, JM; Wu, CH (April 2021). "Triquetral Fractures Overview". Current reviews in musculoskeletal medicine. 14 (2): 101–106. doi:10.1007/s12178-021-09692-w. PMID 33483875.
- 1 2 3 4 5 "Triquetrum Fracture - Hand - Orthobullets". www.orthobullets.com. Archived from the original on 24 March 2022. Retrieved 25 August 2022.
- ↑ Guermazi, Ali; Roemer, Frank W.; Crema, Michel D. (11 December 2015). Imaging in Sports-Specific Musculoskeletal Injuries. Springer. p. 199. ISBN 978-3-319-14307-1. Archived from the original on 27 August 2022. Retrieved 25 August 2022.
External links
- Radiopaedia Archived 2022-06-26 at the Wayback Machine
