Carpal fracture
| Carpal fracture | |
|---|---|
| Other names: Wrist bone fracture | |
![]() | |
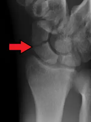
| X-ray showing a scaphoid fracture, the most common wrist fracture | |
| Specialty | Hand surgery |
Carpal fractures are fractures that involve the bones of the wrist. Symptoms may be none specific.[1] Fractures of the scaphoid are most common, while the others are rare.[1]
The underlying cause is typically a fall onto an outstretched hand (FOOSH).[1] X rays of the wrist may be unclear, and CT scan may be required.[1]
For fractures were the peices are well aligned orthopedic casting may be sufficient; otherwise surgery may be indicated.[1]
Types
References
External links
This article is issued from Wmcloud. The text is licensed under Creative Commons - Attribution - Sharealike. Additional terms may apply for the media files.
