| Dermal cylindroma | |
|---|---|
![]() | |
| Dermal cylindroma treated with X-rays without recurrence |
In dermatologic pathology, a dermal cylindroma, also dermal eccrine cylindroma or cutaneous cylindroma[1]: 666 ) and (less specifically) cylindroma, is a benign adnexal tumor[2] that occurs on the scalp and forehead.
Multiple cylindromas may grow together in a "hat-like" configuration, sometimes referred to as a turban tumor.[3] Cylindromas are uncommon dysplasias of skin appendages.[4]
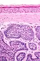
Histology
Dermal cylindromas are:
- Dermal lesions consisting of nests of cells that are surrounded by hyaline (i.e., glassy, eosinophilic, acellular) material and have:
- Hyperchromatic nuclei that may palisade (columnar nuclei arranged around the periphery of the cell nests with their short axis tangential to the nest periphery), and
- Cells with lighter staining ovoid nuclei at their centre.
They lack of a significant number of lymphocytes; this differentiates them from spiradenomas.
Additional images
See also
References
- ↑ James, William D.; Berger, Timothy G.; et al. (2006). Andrews' Diseases of the Skin: clinical Dermatology. Saunders Elsevier. ISBN 0-7216-2921-0.
- ↑ "Cylindroma""at Dorland's Medical Dictionary
- ↑ "Cylindroma: Background, Pathophysiology, Epidemiology". 14 July 2021.
{{cite journal}}: Cite journal requires|journal=(help) - ↑ Cylindroma at eMedicine
External links
This article is issued from Wikipedia. The text is licensed under Creative Commons - Attribution - Sharealike. Additional terms may apply for the media files.





